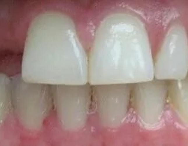
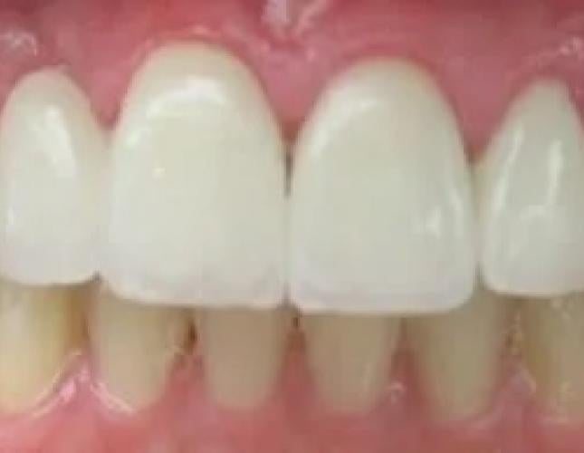
Rachel wanted to address her missing tooth. She opted for a conventional bridge as her bone wasn't strong enough for an implant.

Anonymous
Bridge Smile Gallery Before
Bridge Smile Gallery After