Smile HB Dental and Orthodontics
  • Mon – Thu: 8:00am – 5:00pm
  • Fri: 8:00am – 12:00pm
  • Sat & Sun: Tele Dentistry Available
  • 9952 Hamilton Ave,
    Huntington Beach, CA 92646
  • [email protected]
  • (714) 593-0256
Request an Appointment

Menu

Main Menu
  • Services
    • Emergency Dentistry
    • General Dentistry
      • Hygiene Services
      • Periodontal Treatments
    • Restorative Dentistry
      • Crowns & Bridges
      • Dental Implants
    • Cosmetic Dentistry
      • Invisalign
      • Veneers
  • Smile Gallery
  • About Us
    • Meet the Team
    • Testimonials
    • Office Tour
  • Blog
  • Patient Info
    • Insurance & Financing
    • Special Offers
  • Mon – Thu: 8:00am – 5:00pm
  • Fri: 8:00am – 12:00pm
  • Sat & Sun: Tele Dentistry Available
  • 9952 Hamilton Ave,
    Huntington Beach, CA 92646
  • [email protected]
  • (714) 593-0256
Request an Appointment

Smile Gallery

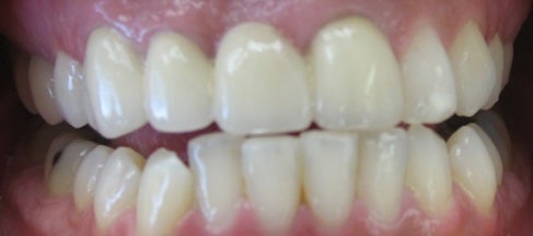
Bridge

Before
Bridge Smile Gallery Before
After
Bridge Smile Gallery After

Rachel wanted to address her missing tooth. She opted for a conventional bridge as her bone wasn't strong enough for an implant.

Invisalign

Before
Invisalign Smile Gallery Before
After
Invisalign Smile Gallery After

Megan came in concerned about her son's teeth. With a bit of Invisalign, mom's worries were eased.

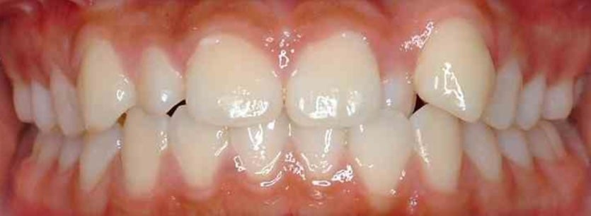
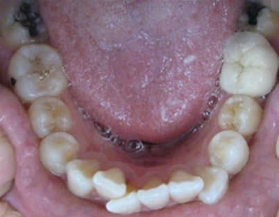
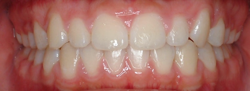
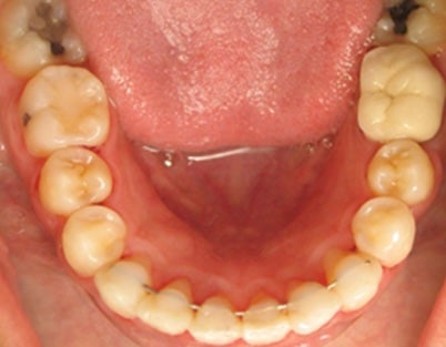
Invisalign 2

Before
Case 1 Before
After
Case 1 After

Case 1

Before
Case 2 Before
After
Case 2 After

Case 2

Before
Case 2 Before
After
Case 2 After

Case 3

Before
Case 3 Before
After
Case 3 After

Our Team

  • Dr. Subodh Swaroop

Services

Emergency Dentistry
General Dentistry
  • Hygiene Services
  • Periodontal Treatments
Restorative Dentistry
  • Crowns & Bridges
  • Dental Implants
Cosmetic Dentistry
  • Invisalign
  • Veneers

Share this content

  • twitter
  • email
  • linkedin
  • facebook

Tell us what you think!

Review us
Smile HB Dental and Orthodontics

Visit our office to get the latest in top-quality dental care along with unparalleled service.

Visit Us On


Links

About Us

Testimonials

Contact Us

Privacy

Accessibility

Login / Account


Get In Touch

9952 Hamilton Ave
Huntington Beach, CA 92646

(714) 593-0256

[email protected]


How Are We Doing


©2026 Smile HB Dental and Orthodontics. Resource Articles ©2026 Genius Platforms. All Rights Reserved. Dental websites by Blumberg Digital & Genius Platforms.