Javascript must be enabled for the correct page display
Mon – Thu:
8:00am – 5:00pm
Fri:
8:00am – 12:00pm
Sat & Sun:
Tele Dentistry Available
9952 Hamilton Ave,
Huntington Beach, CA 92646
[email protected]
(714) 593-0256
Request an Appointment
Menu
Search
Main Menu
Services
Toggle Dropdown
Emergency Dentistry
General Dentistry
Toggle Dropdown
Hygiene Services
Periodontal Treatments
Restorative Dentistry
Toggle Dropdown
Crowns & Bridges
Dental Implants
Cosmetic Dentistry
Toggle Dropdown
Invisalign
Veneers
Smile Gallery
About Us
Toggle Dropdown
Meet the Team
Testimonials
Office Tour
Blog
Patient Info
Toggle Dropdown
Insurance & Financing
Special Offers
Mon – Thu:
8:00am – 5:00pm
Fri:
8:00am – 12:00pm
Sat & Sun:
Tele Dentistry Available
9952 Hamilton Ave,
Huntington Beach, CA 92646
[email protected]
(714) 593-0256
Search
Request an Appointment
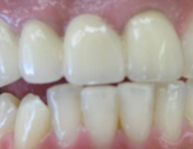
Case 3
Anonymous